Professionelle Zahnregulierung in Basel
Ihr Pioneer für Zahnregulierungen mit durchsichtigen Schienen in Basel
Als erste Zahnarztpraxis in Basel vertreten wir die Invisalign Technik nun bereits seit 2003. Das Team von apdental ag in Basel hat über Jahre hinweg wichtige und tiefgreifende Erfahrungen und die notwendige Kenntnis der Zahnstellungskorrektur gesammelt. Wir sind überzeugt von der einfachen und wirkungsvollen Anwendung, welche wir Ihnen gerne in einem ausführlichen Beratungsgespräch in unserer Praxis vorstellen.
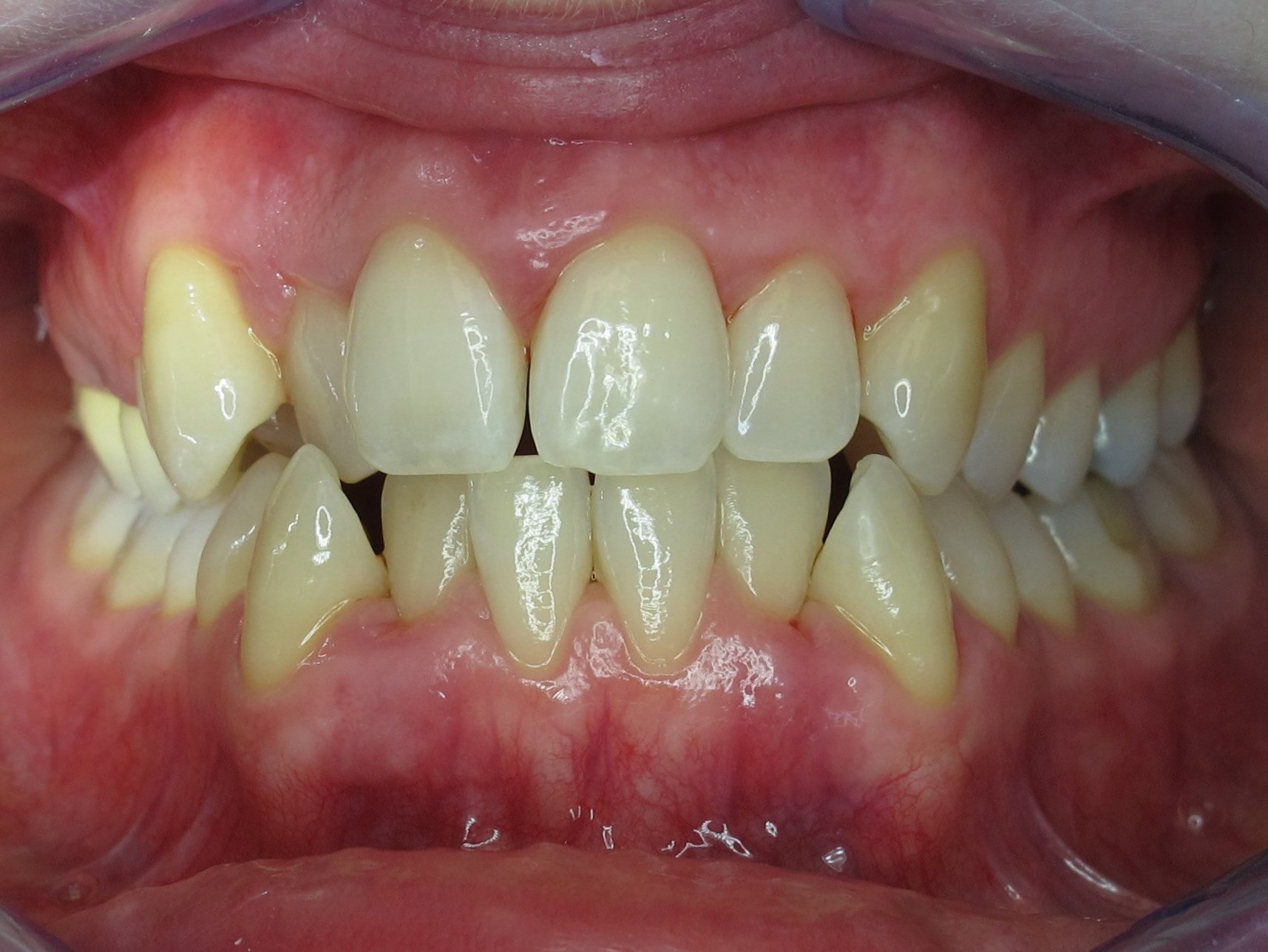
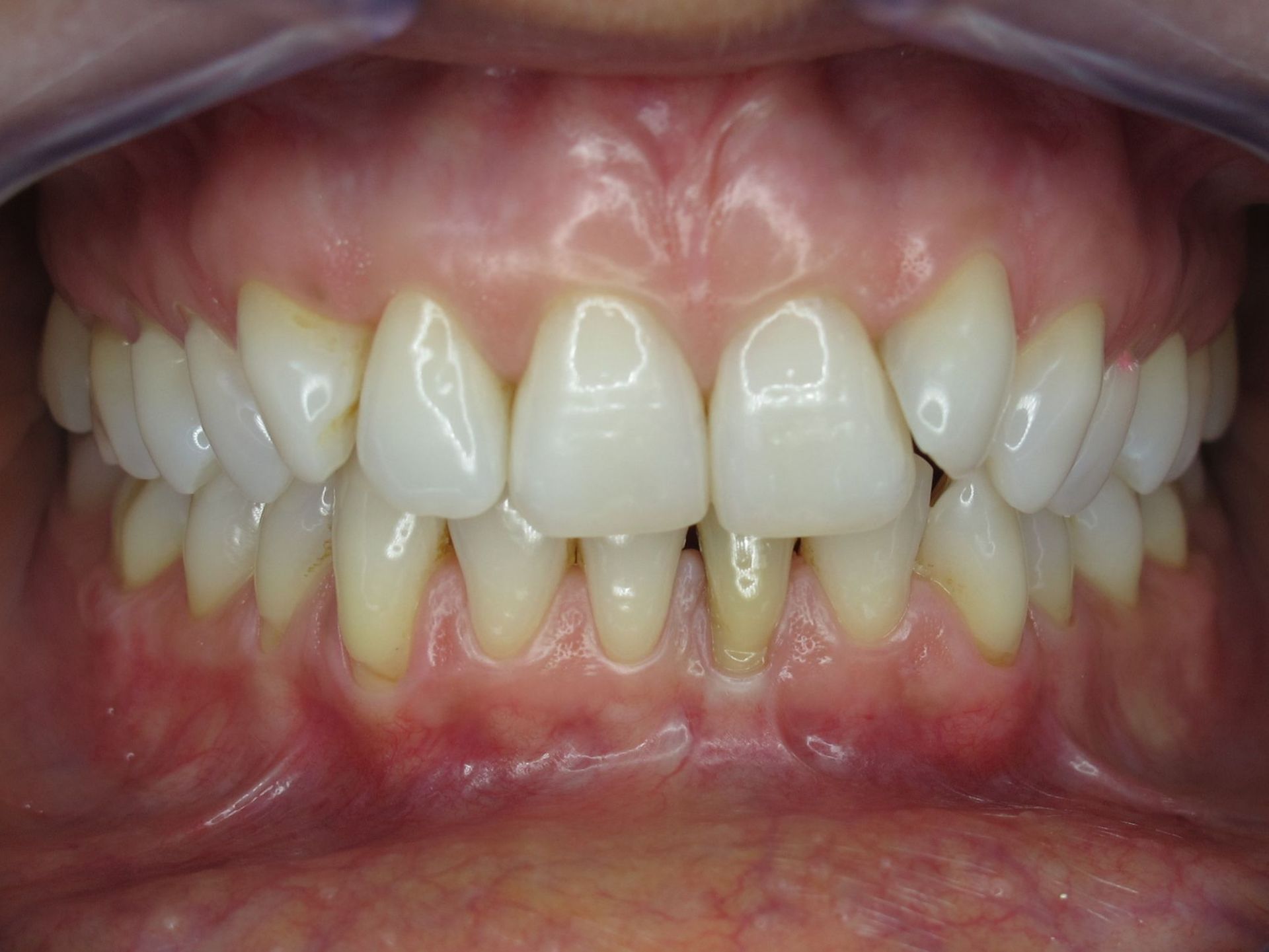
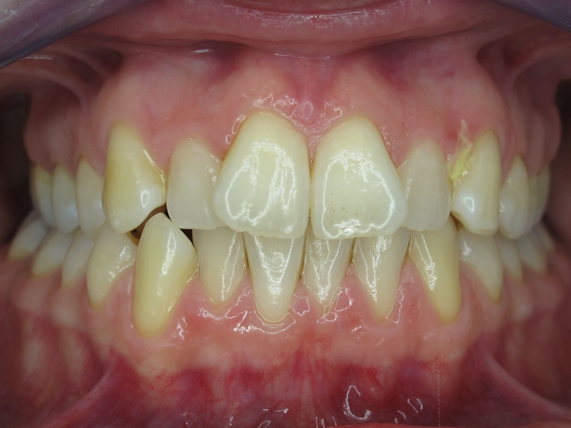
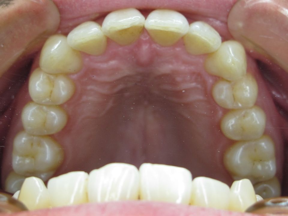
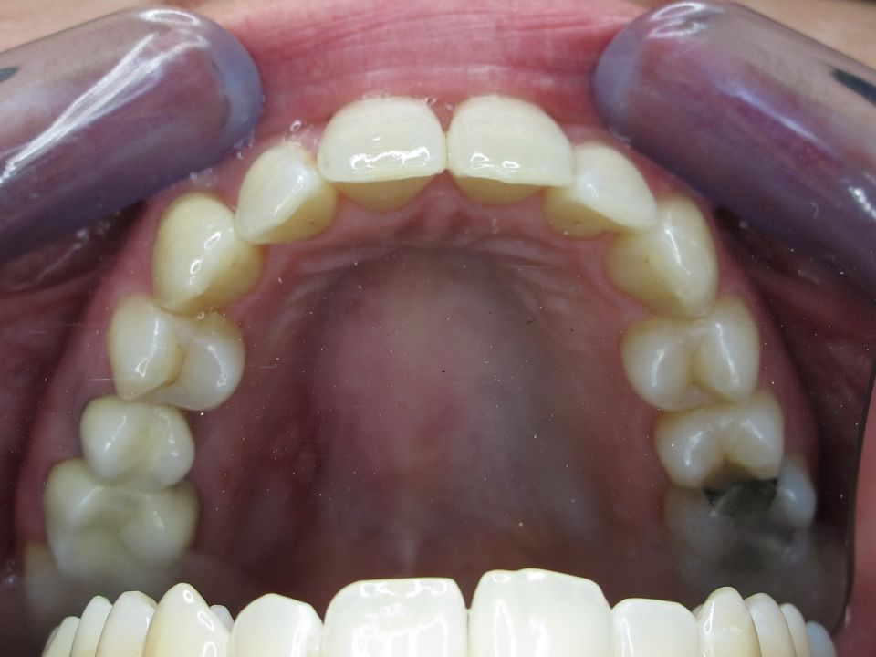
Diese Methode der Zahnregulierung bietet eine zeitgemäße, sanfte und einfach anwendbare Zahnstellungskorrektur in jedem Alter. Zahnfehlstellungen werden durch die durchsichtige, herausnehmbare Behandlungsschiene auf angenehme Art korrigiert. Die Lebensqualität wird daher in keiner Weise beeinträchtigt.
Diese Behandlungen ermöglichen eine korrekte Zahnstellung und optimale Mundhygiene, welche Karies und Zahnfleischerkrankungen wie Parodontitis vorbeugen. Wir schenken Ihnen Ihr schönstes Lächeln.
Das Vorgehen
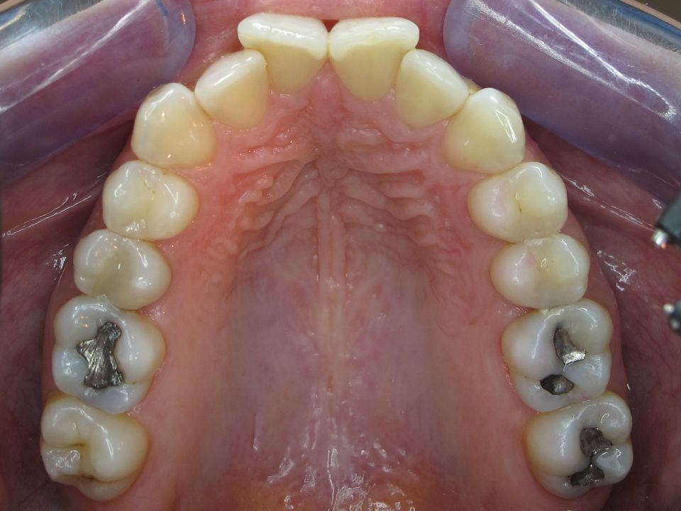
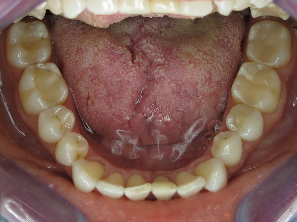
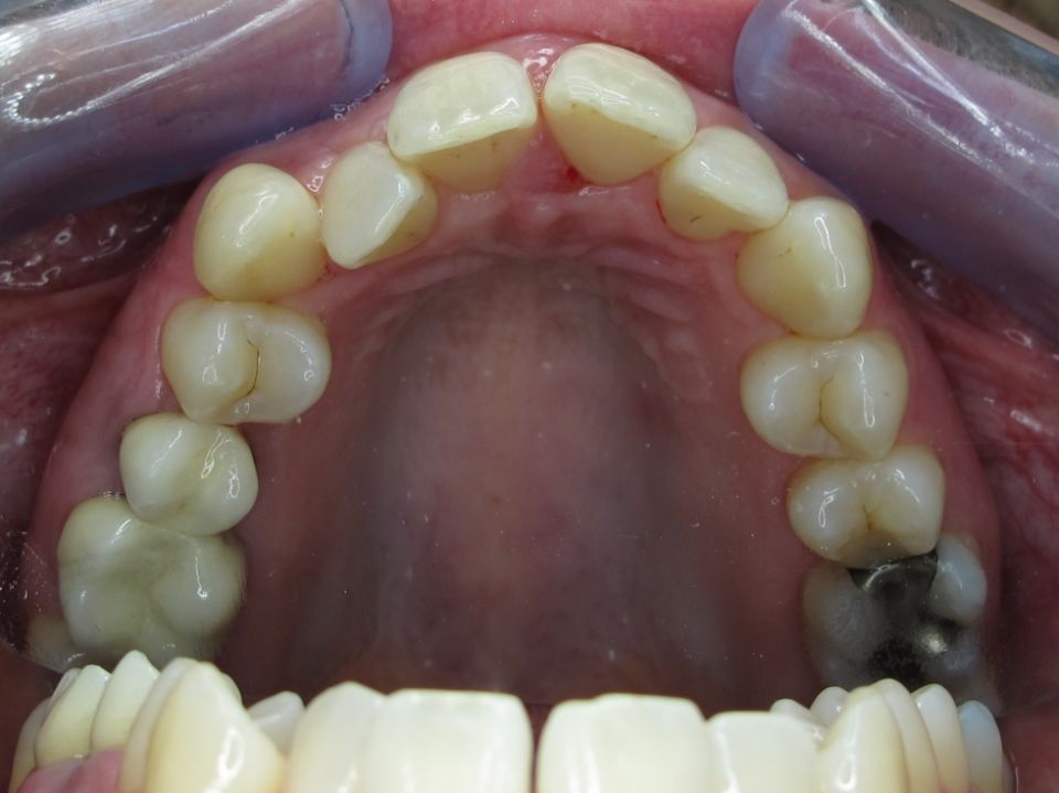
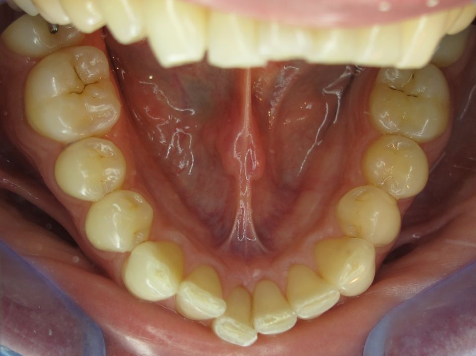
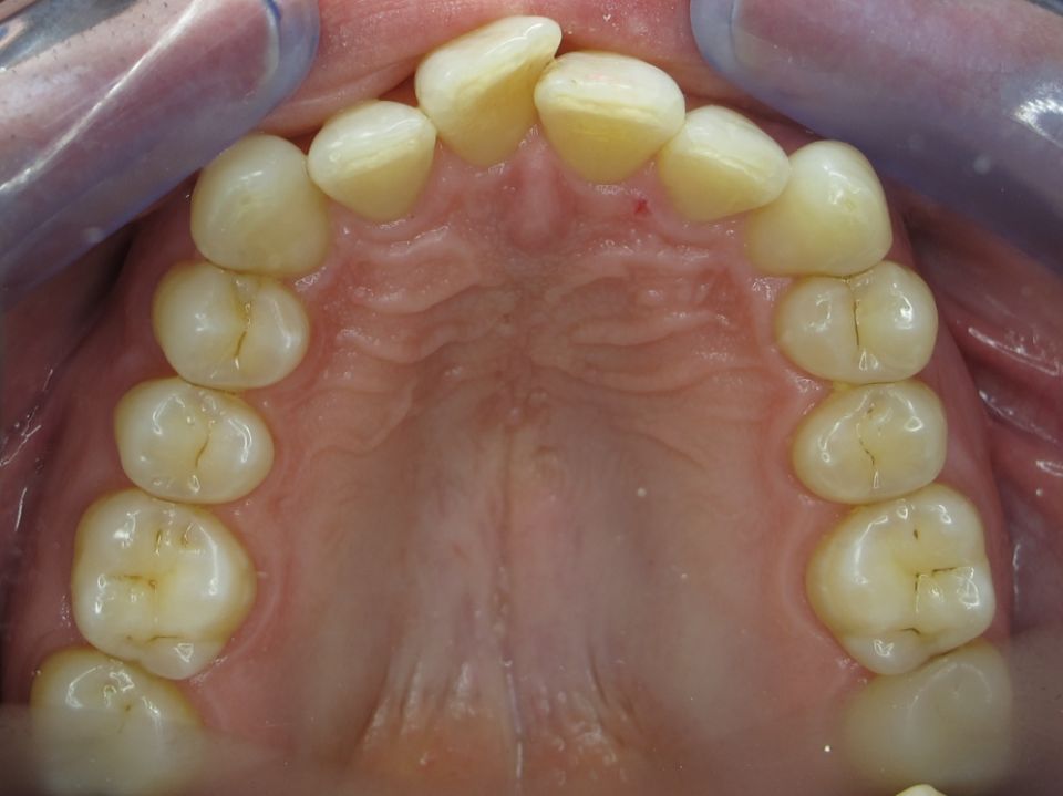
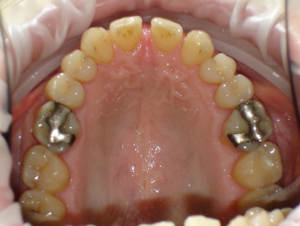
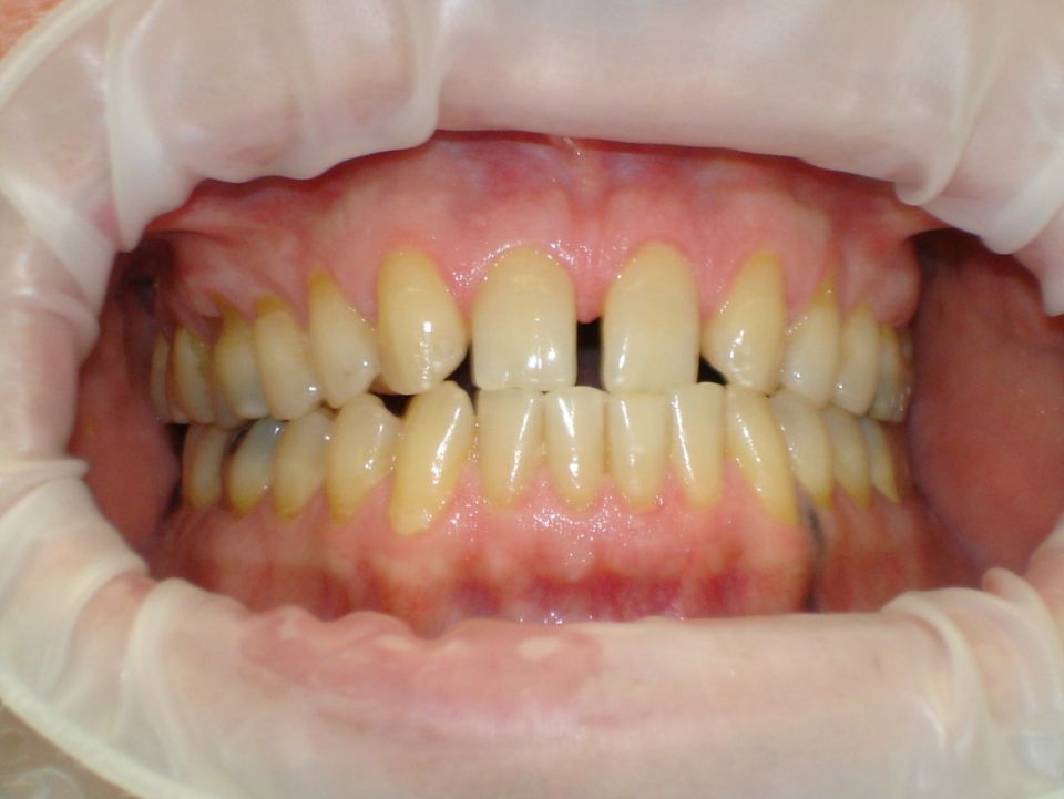
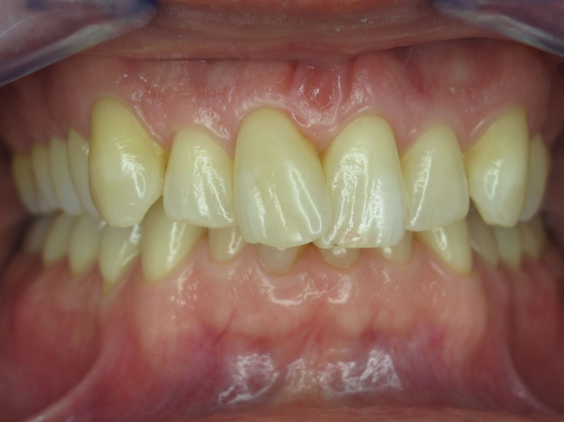
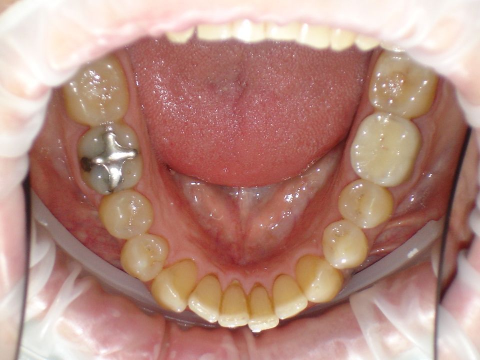
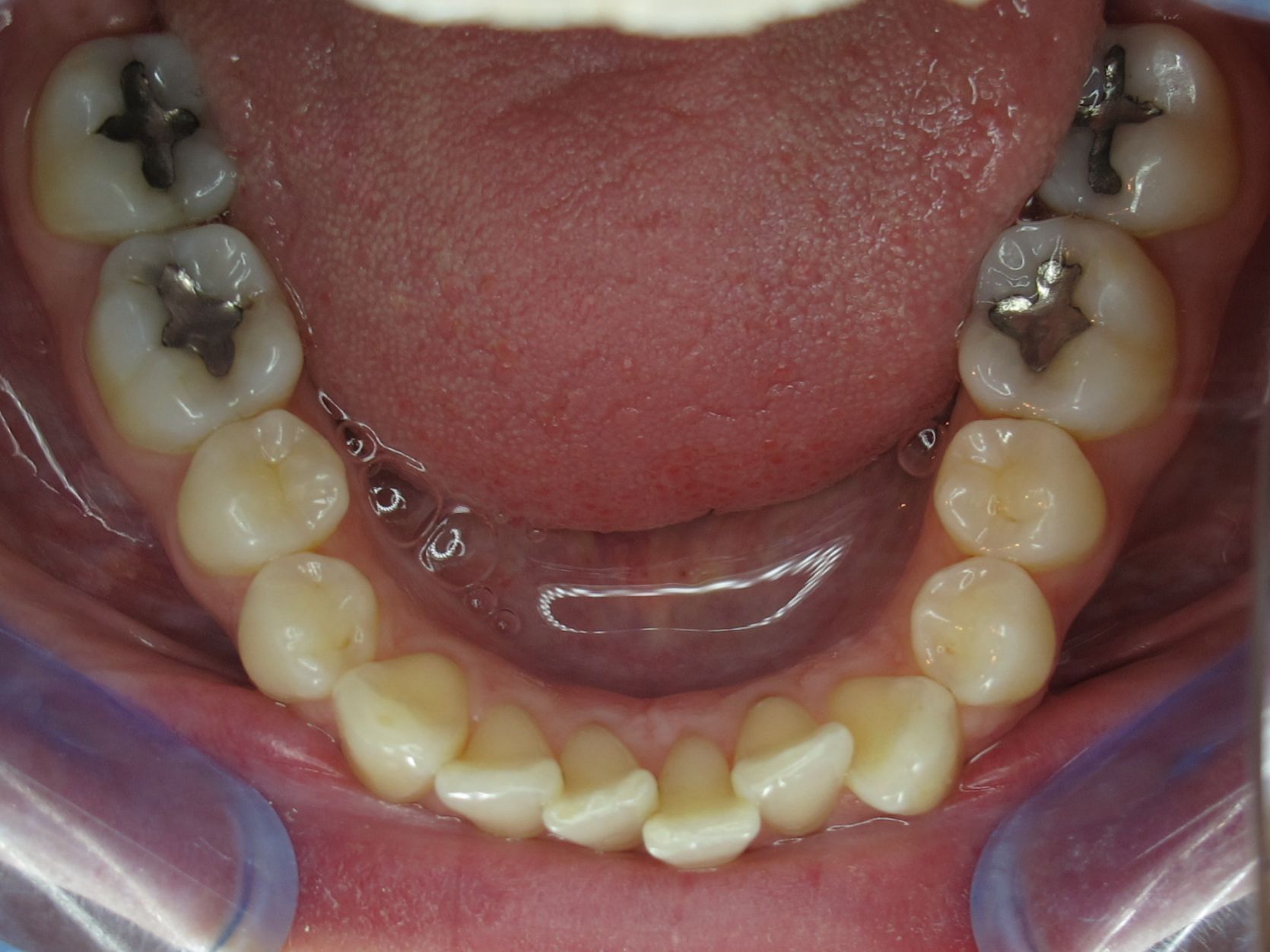
Zu Beginn der Behandlung wird die aktuelle Zahnstellung mit einem Intraoralscanner aufgenommen. Das Behandlungsziel und die vorgesehene Endposition werden im Gespräch mit der Patientin/dem Patienten festgelegt. Die Behandlung wird in einzelne Behandlungsphasen unterteilt. Die einzelnen Kontrolltermine dienen dem Zahnarzt, die Behandlungsfortschritte zu überwachen und sicherzustellen, dass die Behandlung geplant verläuft.
Für jede dieser Behandlungsstufen werden einzeln individuelle Schienen angefertigt. Die Tragedauer der Schienen ist jeweils ca. 2 Wochen. In dieser Zeit werden die Zähne durch kontinuierlichen Druck der Schienen in die zuvor errechnete Richtung bewegt.
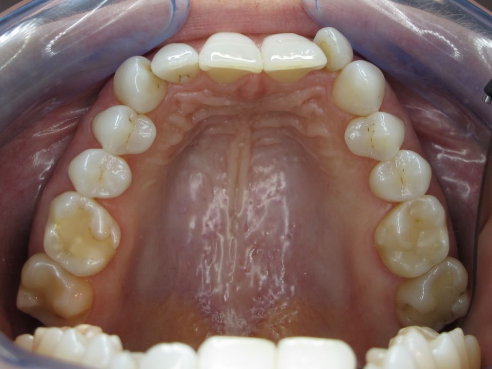
Auf jede Phase folgt die nächste Schiene bis zum gewünschten und besprochenen Behandlungsergebnis – sprich der Wunsch-Zahnstellung. Die Behandlung dauert je nach Grad der Zahnfehlstellung in den meisten Fällen zwischen neun und fünfzehn Monaten.
Die Vorteile
Durchsichtige Kunststoffschienen – weniger auffällig als herkömmliche Zahnspangen.
Herausnehmbare Schienen – keine Probleme beim Essen und bei der Zahnreinigung.
Schmerzarme Behandlung – durch kontinuierliches Anpassen der Schienen.
Persönlicher, individueller Behandlungsplan 
Realistische Simulation des Behandlungsendresultates vor Behandlungsbeginn und die Möglichkeit, das Endresultat mit zu beeinflussen.  
































